
В Лиде впервые в стране сделали операцию по протезированию конечности у животного. Уникальный эксперимент провели ветеринарые врачи из Лиды Павел Жульпа и из Гродно Андрей Елисеев. Операция длилась более трёх часов и прошла успешно.
Пациент — двухлетний британец по кличке Филя. Около года он получил химические травмы, из-за которых ветеринарам пришлось ампутировать ему заднюю лапу. От этого питомец не утратил позитивного настроения, любви к людям и жизни. Однако, спустя время, у него появился шанс на полноценную кошачью жизнь. Лидский ветврач Павел решился на сложнейшую операцию по протезированию конечности. Он учился у знаменитого Российского ветеринарного врача — хирурга Сергея Горшкова.
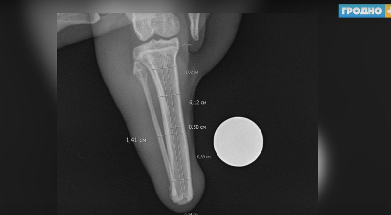
По заказу лидского коллеги в Новосибирске при помощи 3D-принтера изготовили протез. Изделие состоит из сплава титана и гидроксиапатита. Весит всего несколько граммов. Сейчас необходимо некоторое количество времени, чтобы протез вжился в кость, и чтобы произошла полная интеграция живого и искусственного материала. Операция проходила в несколько этапов. Первый из них — сделать доступ из старой культи, поскольку травма уже имела свой срок давности.

«Крайне важно было рассверлить кость настолько правильно, чтобы в идеале имплант мы не раскололи. Это был самый сложный этап операции, поскольку говорим про размеры крайне небольшие. Это порядка 0,5-0,6 см», — рассказывает Павел Жульпа, главный ветеринарный врач ветклиники города Лиды. «Затем мы выполнили имплантацию данного импланта. Затем стабилизацию и после этого ушили культю. Ушивание культи тоже было трудоёмким процессом, поскольку мягкие ткани тоже являются основными осложнениями при протезировании протезами».
«Бизнес-Лида», 2020. Залетай к нам в Telegram!
