
Бездомную собаку Хопи приютили у себя волонтеры из города Новогрудок. Животное было в ужасном состоянии: исхудавшее, без задней левой лапы. Волонтеры отвезли дворняжку в ветеринарную клинику в городе Лида.
«Как нам рассказали, ее год держали на привязи и плохо с ней обращались. Как она потеряла лапу — неизвестно. Возможно, попала под машину. Итог таков, что она ходила на голой кости в прямом смысле этого слова», — рассказал Павел Жульпа, главный врач ветеринарного центра «Кот Бегемот».
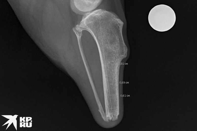
«Два года назад я учился у Сергея Горшкова, был в Новосибирске. Он тогда меня вдохновил подобными операциями, ведь я думал, что такое делать невозможно. Я позвонил ему, и мы обговорили все формальности, договорились о сотрудничестве», — говорит Павел Жульпа. «Протез мы заказали у него.Врачи сделали рентген и поняли, что часть лапы живая, неплохо функционирует и ее можно попытаться сохранить. Только для начала нужно было убрать торчавшую кость. После первой операции Хопи отправили в приют для восстановления. А волонтеры и ветеринары пытались понять, как подарить собаке возможность нормально двигаться».

Казалось бы, уже все решено и скоро Хопи будет бегать на четырех лапах, но возникли проблемы. У Павла был только рентгеновский снимок, а еще нужна была томография. В маленьком городе сделать ее возможности не было.
«Пришлось изготавливать протез только на основе рентгеновского снимка. Мы его обработали, загрузили в программу-планировщик и сделали 3D-модель. Потом уже отпечатали и отправили заказчику», — объяснил КП-Новосибирск Сергей Горшков, ветеринарный врач-хирург.

На создание протеза ушло два дня. Создавали его из прочной смеси титана, никеля и ванадия.
«Мы прооперировали Хопи три дня назад вместе с врачом Андреем Елисеевым, сейчас он находится в нашем стационаре. Хопи уже ходит, но на лапу пока не опирается. Идет процесс заживления», — добавляет Павел.

Пока что собаке установили внутренний протез. Врачи хотят посмотреть, как лапа заживет и не будет ли отторжения. А потом снова обратятся к Сергею, чтобы он изготовил и внешний протез. Кстати, в Белоруссии Хопи стала первой собакой, которой поставили протез: ранее уникальную операцию делали коту.
«Бизнес-Лида», 2020. Залетай к нам в Telegram!
